ASÍ FUNCI0NA EL MAYOR FRAUDE CIENTÍFICO DE ESPAÑA

La trama de los odontólogos manipula los experimentos para volverlos a publicar como si fueran otros

La red, que se extiende a la Universidad Complutense de Madrid, cuenta con una base de imágenes que recortan, invierten o modifican el color para conseguir nuevas publicaciones científicas con las que engoradar sus currículos y lograr ascensos

Imagen de uno de los experimentos manipulados ABC
Javier Chicote

Esta funcionalidad es sólo para registrados

La trama de falsificación de tesis doctorales y artículos científicos desvelada por ABC tiene una dimensión desconocida hasta ahora. Decenas de profesores se han valido de las artimañas de la red que lidera el catedrático de Odontología José Luis Calvo Guirado para inflar sus currículos, lo que les ha reportado sexenios de investigación y ascensos en varias universidades que se traducen en plazas fijas y subidas de sueldo , además de los alumnos que se doctoraron gracias a esta red. Estamos ante un fraude científico nunca antes visto en España y que ha provocado que en el panorama internacional no se fíen de los investigadores españoles en el área de la Odontología. A Calvo y su grupo le han retractado una veintena de artículos científicos , un caso insólito hasta ahora en España.

Durante las últimas semanas, ABC ha analizado, asesorado por odontólogos de prestigio, la producción científica de la trama, lo que ha desvelado un patrón de fraude: una única investigación se manipula para publicar varias tesis y/o artículos científicos . La misma imagen de un determinado experimento se publica hasta en cuatro trabajos distintos cambiando el pie, como si fueran momentos, tratamientos o ensayos diferentes. En ocasiones, para ocultar el fraude, la imagen o la radiografía se recorta, se invierte o se modifica el color. Son decenas los profesores y/u odontólogos implicados, de varias universidades españolas y también de fuera de nuestras fronteras.

Así cometen el fraude

La primera imagen es de la tesis de Piedad Ramírez (2009) y muestra un «tratamiento con hueso autólogo a los 60 días»:

Tesis de Piedad Ramírez ABC

La segunda, publicada en un artículo de José Luis Calvo Guirado y la misma Piedad Ramírez incluido en la tesis del primero (2014), es idéntica a la primera foto, pero con zoom, recortada. Aquí el tratamiento es otro, «Ossceram a los 60 días».

Artículo de José Luis Calvo Guirado ABC

La tercera imagen vuelve a ser la misma, idéntica, y está en otro artículo con varios autores, entre ellos José María Martínez. Ahora es «grupo control (animal al que no se hace nada para comparar con los que sí) a los 45 días».

Artículo de Calvo Guirado, José María Martínez y otros ABC

La cuarta, otro artículo en el que está Cristina Barona, vuelve a ser la misma, pero ahora identificada como «melatonina a los 21 días» :

Artículo de Ramírez, Calvo Guirado, Barona y otros ABC

A los casos ya denunciados por este diario relativos a tesis doctorales, que afectan a varios catedráticos, docentes y profesionales de las universidades públicas de Granada y Murcia y las privadas Católica de Murcia (UCAM) y Miguel Hernández de Elche, se suma la participación de dos profesores de la Facultad de Odontología de la universidad más importante de España, la Complutense.

Se trata de los docentes José María Martínez y Cristina Barona . Ambos han manifestado a ABC, a través de sus abogados, que «no forman parte de ninguna trama», pero han declinado responder a las preguntas de este diario, que ha documentado el fraude científico tomando como ejemplo cuatro publicaciones académicas firmadas por distintos integrantes de la red.

María Piedad Ramírez Fernández , alumna de José Luis Calvo Guirado, leyó su tesis doctoral, titulada «Módelo experimental de la respuesta ósea a implantes y melatonina: estudio radiológico e histomorfométrico», en la Universidad de Murcia en 2009. Imágenes publicadas en este trabajo pueden verse en el artículo «Melatonin stimulates the growth of new bone around implants in the tibia of rabbits», publicado en 2010 en la revista científica «Journal of Pineal Research». Lo firman José Luis Calvo Guirado, Piedad Ramírez, Gerardo Gómez Moreno, José E. Maté-Sánchez, Rafael Delgado-Ruiz, Javier Guardia, Laura López-Marí, Antonio Barone, Antonio J. Ortiz-Ruiz, José María Martínez González y Luis A. Bravo. El problema no es la falta de cita a la publicación primigenia, sino que las imágenes son etiquetadas como si las muestras fueran otras.

En 2012 publican otro artículo , «Melatonin promotes angiogenesis during repair of bone defects: a radiological and histomorphometric study in rabbit tibiae», en la revista «Clinical Oral Investigations» y hacen exactamente lo mismo. Este lo firman: Piedad Ramírez, José Luis Calvo Guirado, José Eduardo Maté, Rafael Arcesio, Bruno Negri, Guillermo Pardo, David Peñarrocha, Cristina Barona, José Manuel Granero y Miguel Alcaraz-Baños.

No se conforman con esto, y Calvo Guirado usa las mismas imágenes para obtener su segundo doctorado en el año 2014 en la Universidad Miguel Hernández de Elche , con la tesis «Comparison of different synthetic scaffolds in animal experimental model». Como contó ABC, este trabajo se basa en tres publicaciones científicas que fueron retractadas después precisamente por las imágenes que utiliza. El presidente de ese tribunal fue el profesor de la Complutense José María Martínez, coautor de un artículo científico previo en el que estaban las mismas imágenes pero identificadas como trabajos realizados con otros materiales clínicos .

Veamos más ejemplos. Esta imagen es la tibia de un conejo. Se trata de la tesis doctoral de Piedad Ramírez y está identificada como un tratamiento de «melatonina a los 60 días»:

Tesis de Piedad Ramírez ABC

En el artículo que firma, entre otros, la profesora Cristina Barona, vemos la imagen 2h. Es exactamente la misma, pero la han invertido, haciendo efecto espejo. En esta ocasión se identifica como «(Melatonin group) transversal section radiovisiograph at 4 weeks». Ya no son 60 días.

Artículo de Ramírez, Calvo Guirado, Barona y otros

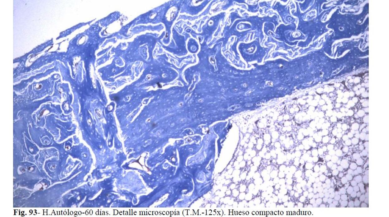
En la tesis de Piedad Ramírez, figura 89c, vemos este «tratamiento con hueso autólogo a los 60 días»:

Tesis de Piedad Ramírez ABC

En el artículo de Barona, figura 2f, ya no es es hueso autólogo, sino «melatonina a los 21 días»:

Artículo de Ramírez, Calvo Guirado, Barona y otros

ABC ha recopilado más ejemplos, pues el patrón no deja de repetirse.

Comparte esta noticia por correo electrónico
Reporta un error en esta noticia