Rechaza vacunarse con AstraZeneca y termina en la UCI luchando por su vida: el caso que conmociona a Países Bajos

Los sanitarios holandeses del centro médico Zuyderland escriben una carta a su ministro de Sanidad para pedir que se retome la vacunación

Cuándo empieza la efectividad de la vacuna de AstraZeneca

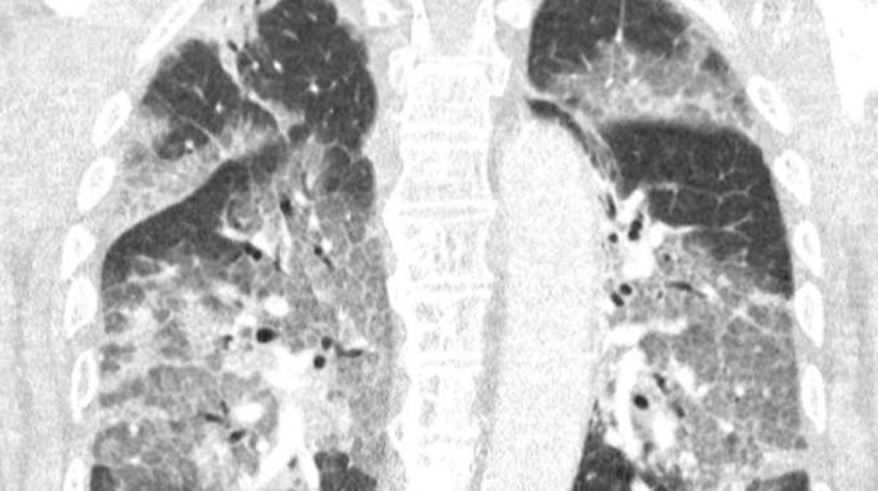
Radiografía de los pulmones del paciente que terminó en la UCI con neumonía Vídeo: Morir por COVID es 2.300 veces más probable que hacerlo por la vacuna - Atlas

Servimedia

Los sanitarios holandeses del centro médico Zuyderland, en el sureste de Países Bajos, han publicado una carta abierta dirigida al ministro de Sanidad, Hugo de Jonge, como crítica por la paralización del uso de las vacunas contra la pandemia de Covid-19.

En la carta relatan el ingreso en la UCI de un paciente que se ha negado a recibir la vacuna de AstraZeneca . Comentan con detalle cómo lucha por su vida, conectado a la respiración asistida: «Oímos el tremendo pesar en su voz y la desesperación en sus ojos. El virus lo ha atacado y podría haberse evitado. Con su permiso, compartimos su escáner de pulmón. No es necesario ser un especialista en pulmones para reconocer la devastación, ni epidemiólogo para explicar los riesgos de no estar vacunado».

Los firmantes recuerdan los datos del «riesgo de daño grave causado por el Covid-19, que es 10 veces mayor para las personas de 40 años y 70 veces mayor para las de 60 años». Sin embargo, sostienen que «el verdadero riesgo de daño grave por trombosis es la no utilización de la vacuna».

Esta queja se produce en un momento en el que Holanda ha almacenado unas 80.000 dosis de la vacuna de Janssen a la espera de decisión sobre su aplicación de la Agencia Europea del Medicamento (EMA), y tras la decisión de utilizar la vacuna de AstraZeneca solo en personas mayores de 60 años.

Los médicos de este centro holandés explican que ellos ven «a diario las tremendas consecuencias de esta enfermedad» y reclaman al ministro « dejar de retrasar la vacunación y provocar inquietud porque las cifras muestran que los beneficios de la vacunación masiva son abrumadores y no mienten».

Reclaman que «la gente elija si quiere evitar una situación como la de nuestro paciente, poner a su disposición cualquier vacuna» e incluso se atreven a advertir que pueden utilizar sin permiso las vacunas que tienen en sus instalaciones para evitar cualquier «daño evitable» en los ciudadanos mientras las vacunas esperan en el refrigerador.

Comparte esta noticia por correo electrónico
Reporta un error en esta noticia