06/04/2020 22:39h. Los sindicatos piden al Gobierno que priorice la protección de los trabajadores en la «deshibernación» ABC
06/04/2020 22:38h. Coronavirus Andalucía Los profesionales del SAS tendrán que esperar 14 días si se contagian para volver a trabajar M. Moguer/ S. B.
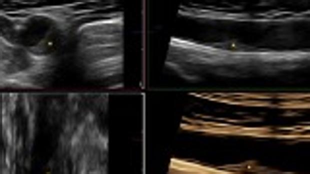
06/04/2020 22:28h. La grasa de las arterias se acumula de forma rápida en personas sanas a partir de los 40 años S. Mencia
06/04/2020 22:15h. Vigésimo tercer día de encierro en Sevilla: todo es gris en la ciudad de la luz R.S.
06/04/2020 22:08h. Fútbol La sorprendente destitución de Antic en el Real Madrid cuando era líder Tomás González-Martín
06/04/2020 22:07h. Coronavirus Córdoba Así ha sido la comitiva de homenaje a los sanitarios en Córdoba