Identificados los primeros indicadores de pronóstico para el cáncer de mama más agresivo

Investigadores del CNIO describen una clasificación exitosa de pacientes de cáncer de mama triple negativo, que por primera vez discrimina a las que se curan de las que podrían recaer e identifica nuevas dianas farmacológicas

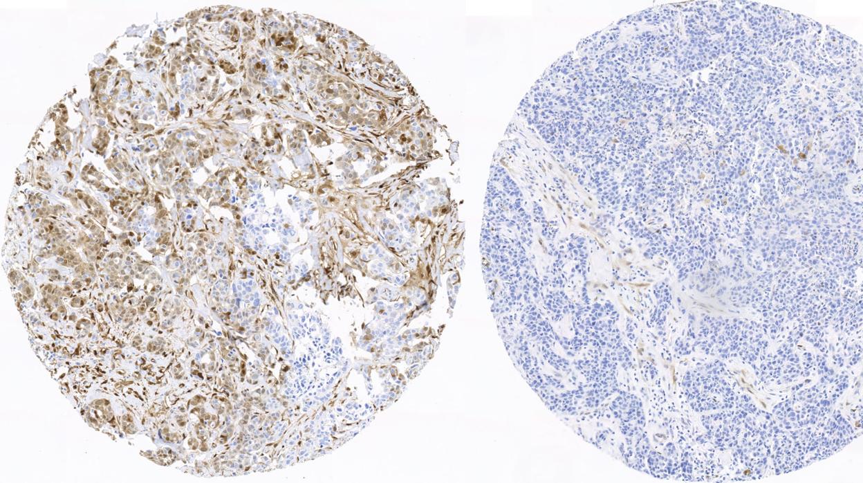
Tejido mamario de una paciente con recaída y que presenta los marcadores de fosforilación activos (izquierda; color marrón intenso), frente al tejido procedente de una paciente sin recaída y que no presenta estos marcadores activos (derecha) Cnio

ABCSalud

El cáncer de mama menos común, pero también más agresivo y más difícil de tratar, es el llamado triple negativo. En este cáncer no ha sido posible identificar marcadores que permitan clasificar a las pacientes según su pronóstico, o su probabilidad de responder a un tratamiento u otro. Investigadores del Centro Nacional de Investigaciones Oncológicas (CNIO) publican ahora en en « Nature Communications » una clasificación exitosa de pacientes de cáncer de mama triple negativo, que por primera vez discrimina a las que se curan de las que podrían recaer . También identifica nuevas dianas farmacológicas, y apunta a que en pacientes con estas dianas podrían ser efectivos tratamientos combinados con fármacos ya existentes.

En concreto, se han identificado seis proteínas quinasas cuyo estado funcional predice la evolución del cáncer de mama triple negativo . Además, los investigadores han hallado la manera de que el estudio de estas proteínas pueda hacerse en los hospitales, de forma que en el futuro sea una prueba clínica tan habitual como lo es hoy el análisis del perfil genético de cualquier tumor.

«Hasta ahora no ha sido posible establecer una relación entre la presencia de determinadas mutaciones en cáncer de mama triple negativo y un pronóstico, o la respuesta a fármacos», explica el oncólogo Miguel Ángel Quintela, del CNIO y autor principal del trabajo. «Nosotros demostramos por primera vez que la proteómica puede ser usada para predecir la evolución del cáncer de mama triple negativo, y para seleccionar combinaciones de parejas de fármacos candidatos a ensayos clínicos».

Décadas de investigación en genómica del cáncer han logrado identificar, en muchos cánceres, mutaciones genéticas dominantes que determinan la progresión del tumor y guían el diseño de tratamientos personalizados. Estas terapias dirigidas contra la biología específica de cada tumor, más eficaces que la quimioterapia convencional, son en gran parte responsables de los avances de los últimos años en el tratamiento del cáncer.

Hasta ahora no ha sido posible establecer una relación entre la presencia de determinadas mutaciones en cáncer de mama triple negativo y un pronóstico, o la respuesta a fármacos

Pero el cáncer de mama triple negativo se debe a numerosas mutaciones, que actúan conjuntamente y en combinaciones únicas para cada paciente. No ha sido posible, por ahora, hallar mutaciones genéticas dominantes que sirvan como indicador de pronóstico o de respuesta a fármacos.

Como explican los investigadores, «si bien los estudios basados en la genética han proporcionado un conocimiento sin precedentes acerca del cáncer de mama y sus subtipos, en el cáncer de mama triple negativo esta novedosa información ha revelado una gran heterogeneidad que ha impedido, hasta ahora, definir factores pronósticos o predictivos. Este hecho hace que la quimioterapia convencional siga siendo la principal opción terapéutica en el cáncer de mama triple negativo ».

Por eso sería de gran de gran interés en este tipo de cáncer un sistema de clasificación asociado a opciones terapéuticas diversas, escriben los autores.

Con este objetivo los investigadores del CNIO optaron por analizar no los genes implicados en el cáncer de mama triple negativo, sino su producto: las proteínas cuya síntesis ordenan esos genes. Su hipótesis fue que las numerosas alteraciones genéticas de los pacientes podrían traducirse en patrones reconocibles de los estados funcionales -la activación o no- de todas las proteínas del tumor, su proteoma.

Proteínas-quinasas

Tuvieron éxito. En muestras de tumores de 34 pacientes los investigadores buscaron las marcas bioquímicas de la activación de las proteínas del tumor; hallaron más de dos millones, pero con la ayuda de sofisticadas herramientas bioinformáticas detectaron que, entre todas estas señales, hay una combinación precisa que se da solo en las pacientes que recaen. La activación de estas proteínas se hace a través de las quinasas -que son a su vez proteínas-, así que el paso siguiente fue encontrar las quinasas de las que depende ese patrón específico . Finalmente el análisis identificó a las seis quinasas responsables del patrón de activación característico del proteoma de las pacientes que recaen.

Así pues, ahora se sabe que estas seis quinasas juegan un papel clave en el cáncer de mama triple negativo. Algunas habían sido estudiadas antes, pero hasta ahora «no había ninguna razón para fijarse en ellas», explica Quintela.

La validación de los resultados con 170 pacientes confirmó el valor de las seis quinasas como marcador. Aquellas pacientes en que ninguna de estas proteínas estaban activas tenían un 95% probabilidad de curarse, o al menos de no haber recaído doce años después del tratamiento. En cambio, bastaba con que solo una de las seis quinasas estuviera activa para que el riesgo de recaída se multiplicara por diez.

Aquellas pacientes en que ninguna de estas proteínas estaban activas tenían un 95% probabilidad de curarse, o al menos de no haber recaído doce años después del tratamiento

Estas seis quinasas se pueden inhibir farmacológicamente, y contra algunas de ellas ya hay fármacos en uso. Es más, para probar la relevancia clínica de su hallazgo los investigadores estudiaron en xenoinjertos, y en xenoinjertos derivados de pacientes -tumores procedentes de pacientes trasplantados a ratones-, la actividad antitumoral de 15 combinaciones distintas de fármacos, y la relacionaron con el perfil de activación de las seis quinasas.

Hallaron combinaciones en que se consiguió una «prometedora actividad antitumoral». En concreto, 15 combinaciones en diez modelos diferentes –150 situaciones– lograron un efecto terapéutico superior al de la suma de los efectos terapéuticos de cada fármaco por separado en el 99.3% de los casos .

Actualmente los investigadores se centran en «validar estos marcadores en otros estadíos de su enfermedad, estandarizar las determinaciones de las quinasas a modo de test diagnóstico y en organizar ensayos clínicos utilizando las combinaciones terapéuticas descritas en este trabajo en pacientes con enfermedad avanzada», señala Quintela.

Comparte esta noticia por correo electrónico
Reporta un error en esta noticia