ENFERMEDAD DE ALZHEIMER

Hallado por qué el colesterol aumenta el riesgo de alzhéimer

El colesterol del cerebro actúa como un catalizador de la formación de placas de proteína beta-amiloide, responsables de la neurodegeneración que da lugar al alzhéimer

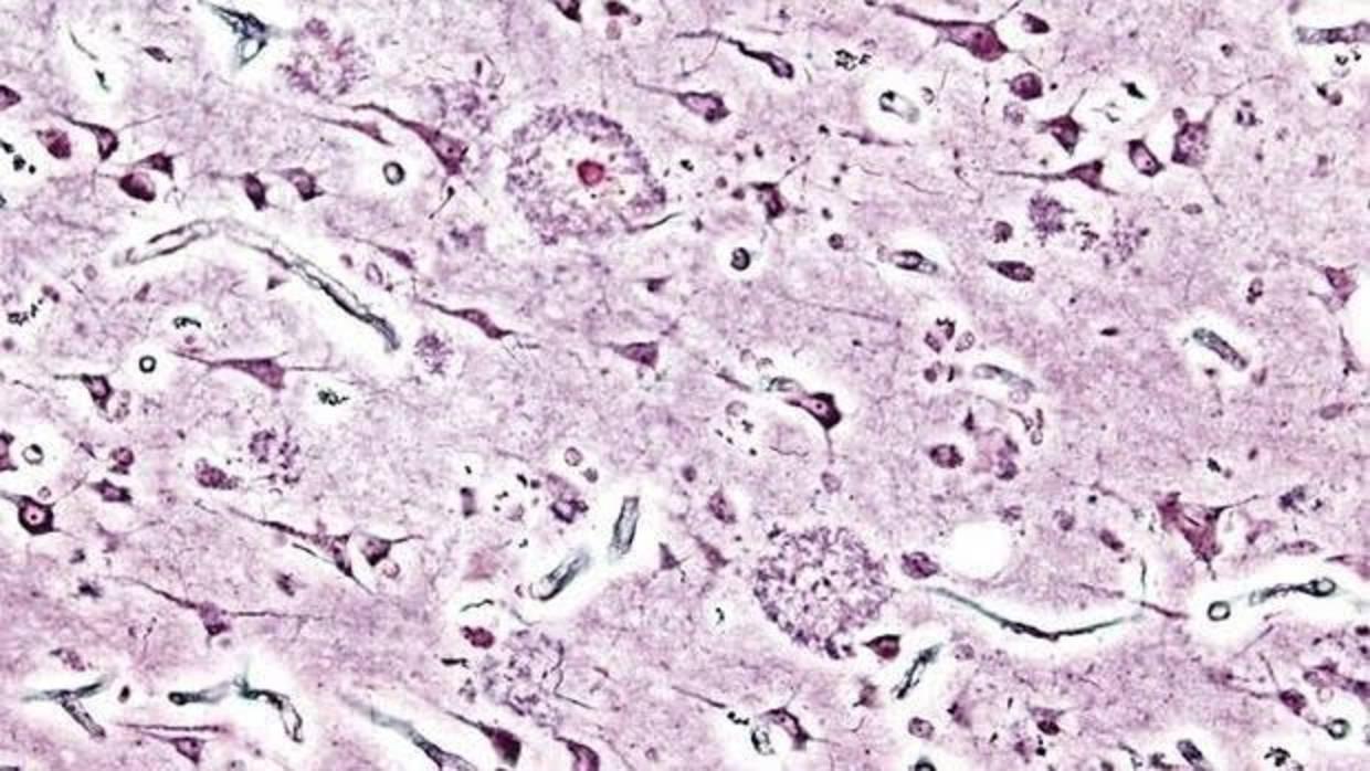
Placas de beta-amiloide en el cerebro de un paciente con alzhéimer ARCHIVO

A. OTERO

Cada vez es mayor el número de estudios que demuestran que el colesterol elevado no solo aumenta el riesgo de desarrollar aterosclerosis y, por tanto, de sufrir un infarto o un ictus. De hecho, es bien sabido que las cifras altas de colesterol a lo largo de la vida incrementan el riesgo de deterioro cognitivo y, por ende, de demencia, caso muy especialmente de la enfermedad de Alzheimer. Y ahora, investigadores de la Universidad de Cambridge (Reino Unido) han hallado el porqué.

El estudio, publicado en la revista « Nature Chemistry », muestra que el colesterol que se encuentra en el cerebro actúa como un catalizador que promueve la formación de placas de proteína beta-amiloide , altamente tóxicas para las neuronas e identificadas por multitud de investigaciones como la principal causa del deterioro y la muerte neuronal –la consabida ‘neurodegeneración’– que da lugar a la enfermedad de Alzheimer.

Como explica Michele Vendruscolo, director de la investigación, «el colesterol no es en sí mismo el problema. La cuestión no es cómo eliminar el colesterol del cerebro, sino cómo controlar el papel del colesterol en el alzhéimer a través de la regulación de su interacción con la proteína beta-amiloide . Además, no estamos diciendo que el colesterol sea el único desencadenante del proceso de agregación que da lugar a las placas. Pero no cabe ninguna duda de que es uno de los desencadenantes».

Insoluble y pegajoso

El colesterol juega un papel esencial en el organismo. No en vano, es uno de los componentes básicos de las membranas de todas las células, incluidas las neuronas. Pero cuando se encuentra en cantidades elevadas, este colesterol acaba suponiendo un problema. Y no solo para nuestro sistema cardiovascular; también para la salud de nuestro cerebro, pues ya se sabe que los niveles altos de colesterol se asocian a un mayor riesgo de alzhéimer. Pero lo que no se sabe es la razón para esta asociación.

Como indica Michele Vendruscolo, «los niveles de placas de beta-amiloide que se encuentran normalmente en el cerebro son cerca de un millar de veces inferiores a los que requerimos para poder estudiar la agregación en el laboratorio. Entonces, ¿qué es lo que pasa en el cerebro que hace que las proteínas se agreguen formando estas placas?».

El estudio identifica al colesterol como uno de los desencadenantes de la formación de placas de proteína beta-amiloide

Para responder a esta pregunta, los autores analizaron si el colesterol que se encuentra en las membranas celulares de las neuronas cerebrales tiene algo que ver en este proceso de agregación de proteínas beta-amiloide en placas. Y es que, por lo general, la cantidad de estas proteínas es tan baja en el cerebro que no llegan ni a encontrarse unas a otras. Y para unirse, primero tienen que encontrarse.

Los resultados muestran que las proteínas beta-amiloide se unen de forma totalmente natural a los lípidos, moléculas que no son únicamente insolubles, sino también muy ‘pegajosas’. Y asimismo, que en la enfermedad de alzhéimer estas proteínas se unen a los lípidos de las membranas celulares, sobre todo al colesterol –que no es sino un lípido–. El resultado es que las proteínas beta-amiloide se encuentran pegadas a las membranas y muy próximas entre sí, lo que aumenta, y mucho, la probabilidad de que se agreguen unas a otras y acaben formando las placas tan nocivas para las neuronas. De hecho, el estudio muestra que el colesterol acelera en más de 20 veces la velocidad de agregación de las proteínas beta-amiloide en el cerebro .

En este contexto, debe tenerse en cuenta que el colesterol, dado que es un lípido y, por tanto, es insoluble, no puede viajar solo por el organismo en su periplo hasta llegar a las membranas celulares. Debe hacerlo unido a proteínas específicas, caso de la ApoE. El problema es que según envejecemos, estas proteínas específicas, responsables de controlar el equilibrio –o ‘homeostasis’– de colesterol en el cerebro, se vuelven menos ‘eficaces’, lo que da como resultado que el colesterol de las membranas se encuentre ‘libre’ –lo que ‘aprovechan’ las proteínas de beta-amiloide para anclarse y acabar ‘encontrándose’ para agregarse.

Mantener bajo control

En definitiva, el estudio muestra una nueva vía por la que las proteínas beta-amiloide se agregan formando placas y, en consecuencia, identifica una nueva diana terapéutica para la prevención y el tratamiento del alzhéimer. De hecho, los autores creen que es posible diseñar fármacos capaces de mantener la homeostasis del colesterol, y por ende de las proteínas beta-amiloide, en el cerebro.

Como concluye Michele Vendruscolo, «nuestro trabajo nos ha ayudado a aclarar una cuestión específica en el campo de la investigación del alzhéimer. El próximo paso será comprender en mayor detalle cómo se mantiene el equilibrio del colesterol en el cerebro para, así, encontrar la manera de inactivar un desencadenante de la agregación beta-amiloide».

Y llegados a este punto, ¿puede esperarse que seguir una dieta baja en colesterol reducirá nuestro riesgo de desarrollar alzhéimer? Pues la verdad es que no se sabe. No en vano, el colesterol ‘externo’, caso del que se ingiere a través de los alimentos, no es capaz de cruzar la barrera hematoencefálica, por lo que no llega al cerebro . Hay que seguir investigando.

Hallado por qué el colesterol aumenta el riesgo de alzhéimer

Comparte esta noticia por correo electrónico
Reporta un error en esta noticia