CARDIOLOGÍA

Explican cómo dormir lo suficiente reduce el riesgo de aterosclerosis

Un estudio explica el mecanismo por el cual el sueño afecta el riesgo de acumulación de placas dentro de las arterias en ratones y sugiere una relación causal entre el sueño adecuado y la salud cardiovascular.

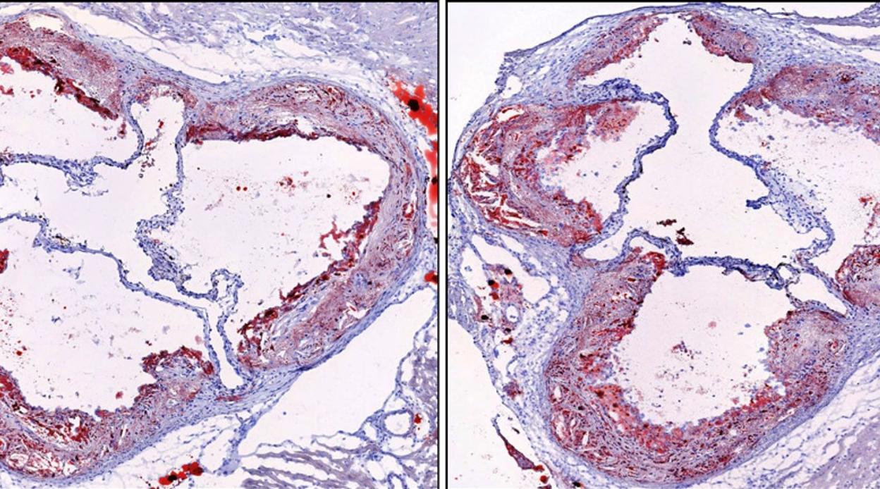
Imágenes de placa de la arteria de un modelo de aterosclerosis de ratón que experimentó un patrón de sueño normal (izquierda) y una imagen de placa arterial de un modelo de ratón que sufrió fragmentación del sueño (derecha). La cantidad de placa arterial en el ratón fragmentado del sueño es significativamente mayor. Filip Swirski, Ph.D., Escuela de Medicina de Harvard

S.G.

Dormir lo suficiente es clave para una buena salud. Son muchos los estudios que han demostrado que no tener un descanso suficiente aumenta el riesgo de problemas graves, incluida la enfermedad cardiovascular . El último hace menos de un mes, realizado en España, que demostraba que las personas que duermen menos de seis horas pueden tener un mayor riesgo de enfermedad cardiovascular en comparación con aquellas que lo hacen entre siete y ocho horas. Este estudio que se publicó en « The Journal of American College of Cardiology » (JACC), revelaba además que el sueño de ‘mala calidad’ aumenta el riesgo de aterosclerosis (acumulación de placas en las arterias de todo el cuerpo).

Ahora, investigadores del Hospital General de Massachusetts (EE.UU.) han descubierto una vía a través de la que el sueño protege frente a la formación y acumulación de placas en las arterias. En su artículo que se publica hoy en «Nature» se describe el mecanismo por el cual el sueño insuficiente aumenta la producción de glóbulos blancos inflamatorios , que se sabe que son los principales contribuyentes a la aterosclerosis.

Investigadores del Hospital General de Massachusetts han descubierto una vía a través de la que el sueño protege frente a la formación y acumulación de placas en las arterias

La aterosclerosis es una causa frecuente de enfermedad cardíaca. El sueño reducido o de mala calidad se ha asociado con una variedad de afecciones de salud , incluido un mayor riesgo de enfermedad cardíaca. Sin embargo, poco se sabe sobre los mecanismos celulares y moleculares por los cuales el sueño puede afectar la salud cardiovascular.

«Hemos descubierto que el sueño ayuda a regular la producción de las células inflamatorias en la médula ósea y la salud de los vasos sanguíneos ; sin embargo, la carencia de horas de sueño o su interrupción detiene el control de la producción de células inflamatorias, lo que lleva a una mayor inflamación y más enfermedades del corazón», explica Filip Swirski, autor principal del artículo. «Asimismo, hemos identificado cómo una hormona en el cerebro que controla el estado de vigilia interviene además en los procesos de la médula ósea y protege frente a las enfermedades cardiovasculares».

La hipocretina controla la producción de células sanguíneas, incluidas las células inmunes, a través de una proteína de señalización llamada CSF1

Para investigar cómo el sueño insuficiente aumenta la aterosclerosis, el equipo de Swirski sometió a un modelo de ratones genéticamente programados para desarrollar aterosclerosis a repetidas interrupciones de su sueño, similar a la experiencia de alguien que se despierta constantemente debido a ruidos o molestias . Los expertos no apreciaron cambios en el peso corporal, los niveles de colesterol o la tolerancia a la glucosa en los ratones privados de sueño, en comparación con los animales de la misma cepa a los que se permitió dormir normalmente. Sin embargo, los primeros desarrollaron placas arteriales más grandes y tenían niveles más altos de monocitos y neutrófilos- células inflamatorias que contribuyen a la aterosclerosis en los vasos sanguíneos-.

Otros análisis revelaron que los ratones privados de sueño experimentaron un aumento de casi el doble en la producción en su médula ósea de las células madre encargadas de la producción de glóbulos blancos .

Las personas que duermen menos de seis horas pueden tener un mayor riesgo de enfermedad cardiovascular Archivo

Una de las claves de este proceso radica en que una hormona llamada hipocretina , producida en la estructura cerebral llamada hipotálamo y que tiene un papel en la regulación del sueño, desempeña un papel inesperado en el control de la producción de los glóbulos blancos. Aunque normalmente se producen en niveles altos cuando los animales, incluidos los humanos, están despiertos, los niveles de hipocretina se redujeron significativamente en los ratones privados de sueño.

En este estudio se ha visto que la hipocretina regula la producción de glóbulos blancos a través de la interacción con los progenitores de neutrófilos en la médula ósea. Los autores consideran que la hipocretina controla la producción de células sanguíneas, incluidas las células inmunes, a través de una proteína de señalización llamada CSF1. Así, concluyen que el aumento observado en la producción de células inmunitarias y el desarrollo acelerado de la aterosclerosis en ratones privados de sueño está causado por la reducción de la hipocretina y el aumento de los niveles de CSF1. La restauración de los niveles de hipocretina en estos ratones redujo la aterosclerosis.

Los ratones privados de sueño experimentaron un aumento de casi el doble en la producción en su médula ósea de las células madre encargadas de la producción de glóbulos blancos

Los autores sugieren que el sueño sin perturbaciones mantiene la liberación adecuada de hipocretina del hipotálamo y ofrece un efecto protector sobre la salud cardiovascular.

«Esta es una demostración directa de que la hipocretina también es un importante mediador de la inflamación. Ahora necesitamos estudiar esta vía en humanos, explorar nuevos mecanismos mediante los cuales el sueño adecuado mantenga la salud vascular y analizar este nuevo eje neuroinmune recientemente identificado ».

Comparte esta noticia por correo electrónico
Reporta un error en esta noticia