La IA de Google detecta el cáncer de mama mejor que los radiólogos más expertos

El estudio es el último en mostrar que la inteligencia artificial (IA) tiene el potencial de mejorar la precisión de la detección del cáncer de mama

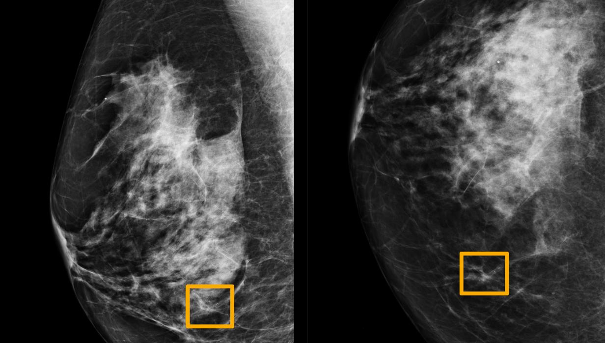
Un cuadro amarillo indica dónde un sistema de IA encontró cáncer escondido dentro del tejido mamario. Seis radiólogos anteriores no pudieron encontrar el cáncer en las mamografías de rutina. Universidad Northwestern

R. I.

Google ha desarrollado un sistema de inteligencia artificia l que ha demostrado ser tan eficaz como los radiólogos más expertos a la hora de detectar qué mujeres tenían cáncer de mama basándose en las mamografías realizadas a cada mujer. Los primeros resultados de este sistema de inteligencia artificial (IA), que, además podría perfeccionarse para reducir errores, se publicaron ayer en « Nature ».

El estudio es el último en mostrar que la inteligencia artificial (IA) tiene el potencial de mejorar la precisión de la detección del cáncer de mama, que afecta a una de cada ocho mujeres en todo el mundo.

Los radiólogos “ pierden ” alrededor del 20% de los cánceres de mama en las mamografías, y la mitad de todas las mujeres que se hacen las pruebas de detección durante un período de 10 años tienen un resultado falso positivo.

Los hallazgos del estudio, desarrollado con la unidad DeepMind AI de Alphabet Inc (GOOGL.O), que se fusionó con Google Health en septiembre, representan un avance importante en la detección temprana del cáncer de mama, afirmó Mozziyar Etemadi, uno de los investigadores de la Universidad Northwestern Medicine en Chicago (EE.UU.).

El equipo, que incluía investigadores del Imperial College de Londres y del Servicio Nacional de Salud de Gran Bretaña, entrenó al sistema para identificar cánceres de mama en decenas de miles de mamografías.

A continuación, compararon el rendimiento del sistema con los resultados reales en un total de 25.856 mamografías realizadas en el Reino Unido y 3.097 en EE.UU.

Los resultados mostraron que el sistema de IA podría identificar cánceres con un grado de precisión similar al de los radiólogos más expertos

Los resultados mostraron que el sistema de IA podría identificar cánceres con un grado de precisión similar al de los radiólogos más expertos; además, redujo el número de resultados falsos positivos en un 5,7% en el grupo de pruebas practicadas en EE. UU. y en un 1,2% las procedentes de Gran Bretaña.

Asimismo, disminuyó el número de falsos negativos -cuando las pruebas se clasifican erróneamente como normales-, en un 9,4% en el grupo de EE. UU. y en un 2,7% en el grupo británico.

Para evaluar la efectividad de este sistema, los investigadores llevaron a cabo una prueba independiente en la que se compararon los resultados del sistema de IA con los de seis radiólogos. El test de Google superó a todos ellos en la detección precisa de cánceres de mama.

El test de Google superó a todos los radiólogos en la detección precisa de cánceres de mama.

Según el equipo, los hallazgos son emocionantes y muestran cómo la IA podría ayudar a los servicios de detección de atención médica en todo el mundo. Una aplicación práctica de este tipo podría incluir proporcionar retroalimentación automática en tiempo real sobre imágenes de mamografía, otorgando una puntuación estadística que podría usarse para clasificar casos sospechosos más rápidamente.

« Si bien esta es una investigación emocionante en las primeras etapas, se necesita validación en ensayos futuros para comprender mejor cómo los modelos como estos pueden integrarse efectivamente en la práctica clínica », afirmó Etemadi.

«En algunos casos, el humano supera a la IA y en otros, es todo lo contrario. Pero el objetivo final será encontrar la mejor manera de combinar los dos: la magia del cerebro humano no irá a ninguna parte en el corto plazo», añadió.

Sin embargo, los investigadores agregan que se requieren más pruebas en poblaciones más grandes.

Comparte esta noticia por correo electrónico
Reporta un error en esta noticia