ENFERMEDAD DE PARKINSON

Identificado el origen de las alucinaciones visuales en el párkinson

Las alucinaciones visuales son el resultado de una conexión deficiente de las áreas cerebrales implicadas en la atención y el procesamiento visual con el resto del cerebro

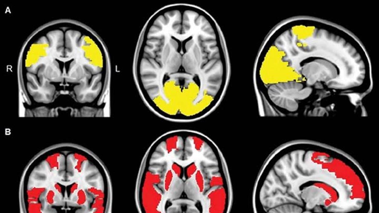
Disminución de la conectividad en los lóbulos paracentral y occipital en pacientes con alucinaciones visuales (abajo) VUMC

R. I.

La enfermedad de Parkinson es un trastorno neurológico crónico, neurodegenerativo e invalidante que padecen más de 160.000 personas en nuestro país, en hasta un 10% de los casos en fase avanzada. Una enfermedad que se caracteriza fundamentalmente por los problemas motores, caso de los típicos temblores y de la dificultad para caminar que aparecen y desaparecen a lo largo del día. Sin embargo, las consecuencias del párkinson van mucho más allá de los déficits motores. Y es que muchos pacientes también experimentan trastornos cognitivos –como la pérdida de memoria o falta de concentración– y trastornos cognitivos –como depresión, apatía o ansiedad–. Y asimismo, alteraciones perceptivas, por lo general en forma de alucinaciones visuales. De ahí la importancia de un estudio llevado a cabo por investigadores del Centro Médico de la Universidad Libre de Ámsterdam (Países Bajos), en el que se describe el origen de estas alucinaciones visuales asociadas a la enfermedad de Parkinson y, por tanto, abre la puerta al desarrollo de terapias para evitarlas.

Como explica Dagmar H. Hepp, directora de esta investigación publicada en la revista « Radiology », « las alucinaciones visuales en la enfermedad de Parkinson son frecuentes y debilitantes . El objetivo de nuestro trabajo fue identificar los mecanismos subyacentes a las alucinaciones visuales en la enfermedad, pues el conocimiento alcanzado en torno a este síntoma es, aún en la actualidad, escaso».

Problemas de conectividad

Básicamente, las alucinaciones son aquellas sensaciones que, si bien parecen reales, son creadas directamente por la mente de una persona. El resultado es que las personas que tienen una alucinación pueden ver, oír o sentir ‘cosas’ que, en realidad, no existen. Es el caso de muchos pacientes con párkinson, que suman a los síntomas de la enfermedad las alucinaciones visuales. Pero, y cuando menos por lo que respecta específicamente a este trastorno neurodegenerativo, ¿por qué se producen?

Para responder a esta pregunta, los autores recurrieron a la resonancia magnética funcional (fMRI), tipo de prueba de imagen que se ha empleado en muy contadas ocasiones en el estudio del párkinson. Todo ello a pesar de que, como apuntan los propios investigadores, la presencia de alucinaciones visuales está fuertemente ligada al desarrollo de deterioro cognitivo y, por tanto, las pruebas cognitivas no son demasiado útiles para evaluar las alteraciones perceptivas en esta población.

Las alucinaciones visuales en la enfermedad de Parkinson son frecuentes y debilitantes

Dagmar Hepp

En el estudio, los autores emplearon la fMRI para analizar la conectividad entre las áreas cerebrales en estado de reposo, principalmente el nivel de sincronización entre los patrones de activación de las distintas regiones del cerebro. Y para ello, contaron con la participación de 15 pacientes con párkinson que sufrían alucinaciones visuales, 40 afectados por la enfermedad sin estas alteraciones perceptivas y 15 voluntarios sanos –‘grupo control’.

Los resultados mostraron que el grado de comunicación entre muchas de las áreas cerebrales era notablemente menor en los pacientes con párkinson que en los voluntarios sanos. Y asimismo, que comparados frente a los pacientes sin alteraciones perceptivas, la disminución en esta comunicación afectaba a algunas regiones cerebrales adicionales en aquellos que sufrían alucinaciones visuales, principalmente a las regiones implicadas en el mantenimiento de la atención y del procesamiento de la información visual .

Estimular las conexiones

En definitiva, parece que las alucinaciones visuales en la enfermedad de Parkinson son el resultado de una desconexión entre distintas regiones del cerebro. Como indica Menno M. Schoonheim, co-autor de la investigación, «hemos observado que las áreas cerebrales implicadas en la atención y en el procesamiento visual están menos conectadas con el resto del cerebro. Esto sugiere que la desconexión de estas áreas cerebrales puede contribuir al origen de este tipo de alteraciones perceptivas en los pacientes con párkinson».

Y este hallazgo, ¿tiene alguna aplicación en la práctica clínica real? Pues como reconocen los propios autores, no. O cuando menos, por el momento. Y es que como concluyen los investigadores, «si bien los resultados de nuestro trabajo no tienen implicaciones terapéuticas directas para la atención de los pacientes, los futuros estudios podrían identificar qué técnicas para estimular estas áreas con una conectividad disminuida podrían ser útiles para tratar las alucinaciones visuales en la población con párkinson ».

Identificado el origen de las alucinaciones visuales en el párkinson

Comparte esta noticia por correo electrónico
Reporta un error en esta noticia