ONCOLOGÍA

Las células ‘amigas’ del cáncer de mama

Los tumores de mama aumentan su crecimiento al reclutar células de la médula ósea

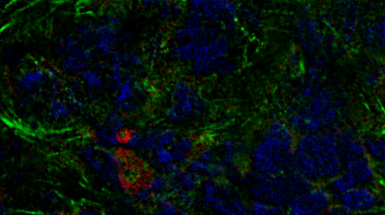
Un tumor mamario de ratón contiene fibroblastos derivados de la médula ósea (rojo), así como otros fibroblastos asociados con el cáncer (verde). Raz et al., 2018.

Los tumores mamarios pueden aumentar su crecimiento al reclutar células estromales, formadas originalmente en la médula ósea . El estudio, que se publica en «Journal of Experimental Medicine», revela que el reclutamiento de fibroblastos derivados de la médula ósea reduce las probabilidades de sobrevivir al cáncer de mama, pero s ugiere que atacar estas células podría ser una forma efectiva de tratar la enfermedad.

Dentro de los tumores sólidos, las células cancerosas están rodeadas por otros tipos de células que, aunque no son tumorales, estimulan el crecimiento tumoral y la metástasis. Los tumores de mama, por ejemplo, contienen un gran número de células de fibroblastos que promueven la proliferación de células cancerosas, la inflamación y la formación de nuevos vasos sanguíneos para suministrar nutrientes y oxígeno al tumor en crecimiento. Muchos de estos fibroblastos asociados con el cáncer se derivan del tejido mamario vecino, pero otros parecen provenir de otras partes del cuerpo.

Los tumores de mama, por ejemplo, contienen un gran número células de fibroblastos que promueven la proliferación de células cancerosas, la inflamación y la formación de nuevos vasos sanguíneos para suministrar nutrientes y oxígeno al tumor en crecimiento.

Neta Erez y su grupo de la Escuela de Medicina Sackler de la Universidad de Tel Aviv (Israel) descubrieron que, en ratones con cáncer de mama, un número significativo de fibroblastos asociados al cáncer se derivan de células de la médula ósea llamadas células del estroma mesenquimatosas (MSC). Los investigadores encontraron que los tumores de mama pueden reclutar MSC de la médula ósea y hacer que se conviertan en fibroblastos.

Diferenciación

Estos fibroblastos derivados de la médula ósea son diferentes de otros fibroblastos asociados con el cáncer . Carecen, por ejemplo, de una proteína de señalización celular clave llamada PDGFRα. Pero los fibroblastos derivados de la médula ósea son particularmente eficaces para estimular la formación de nuevos vasos sanguíneos porque producen grandes cantidades de una proteína llamada clusterina. Por lo tanto, los tumores que contienen fibroblastos derivados de la médula ósea estaban más vascularizados y crecían más rápido que los tumores que solo contenían fibroblastos derivados de la mama.

Comprender la función de estos fibroblastos asociados con el cáncer podría ser la base del desarrollo de nuevas opciones terapéuticas que se dirigen a los fibroblastos derivados de la médula ósea, así como a las propias células cancerosas».

Erez y sus colegas encontraron que los cánceres de mama humanos también contienen fibroblastos que carecen de PDGFRα, lo que sugiere que los tumores humanos también pueden reclutar células derivadas de la médula ósea. Además, los tumores que contienen niveles más bajos de PDGFRα tienden a ser más mortales, lo que sugiere que el reclutamiento de fibroblastos derivados de la médula ósea es un paso crucial en la progresión del cáncer de mama.

«Nuestro estudio muestra que el reclutamiento de fibroblastos derivados de la médula ósea es importante para promover el crecimiento tumoral, probablemente al aumentar la formación de vasos sanguíneos –explica Erez- . Comprender la función de estos fibroblastos asociados con el cáncer podría ser la base del desarrollo de nuevas opciones terapéuticas que se dirigen a los fibroblastos derivados de la médula ósea, así como a las propias células cancerosas».

Comparte esta noticia por correo electrónico
Reporta un error en esta noticia