19/12/2017 20:06h. Twitter La noche en la ópera de la vicepresidenta Oltra y el conseller Marzà con Plácido Domingo ABC
19/12/2017 20:06h. IBI SEVILLA El Ayuntamiento de Sevilla, obligado a informar sobre todos los inmuebles exentos de IBI M. J. PEREIRA
19/12/2017 20:05h. LA MIRADA ECONÓMICA «Bienvenidos a la cuarta revolución industrial» JAVIER RODRÍGUEZ
19/12/2017 19:46h. El 82% de las personas atendidas por Cruz Roja viven por debajo del umbral de la pobreza SERVIMEDIA
19/12/2017 19:45h. Marjaliza vuelve a declarar ante el juez tras aportar nueva documentación ATLAS ESPAÑA
19/12/2017 19:43h. Recepción Los grupos políticos de la Diputación felicitan la Navidad a los medios y les piden informar en positivo ABC
19/12/2017 19:42h. Corea del Norte rechaza la oferta de diálogo de Estados Unidos y la tilda de estratagema EFE
19/12/2017 19:42h. Política El Estado alerta sobre los riesgos de la gestión económica de Joan Ribó en Valencia ABC
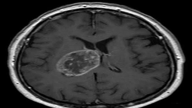
19/12/2017 19:41h. CÁNCER CEREBRAL Nueva terapia capaz de prolongar la supervivencia en el tumor cerebral más común M. LÓPEZ
19/12/2017 19:35h. Un atracador abatido en el asalto a una vivienda de Mairena del Aljarafe ATLAS ESPAÑA
19/12/2017 19:33h. Gobiernos del cambio Los exsocios del alcalde de Alicante presentan mociones para quitarle el sueldo y las competencias ABC